Tomografia

Seu Sorriso em Primeiro Lugar

Explore Nossos Serviços Especializados em Odontologia

A tomografia da maxila, também conhecida como tomografia computadorizada da arcada dentária superior, é um exame de imagem que utiliza raios X e um computador para criar imagens detalhadas e...
A Tomografia da Mandíbula é um exame de imagem que utiliza raios-X para criar imagens detalhadas e em alta resolução da região, incluindo a dentes,osso alveolar e base óssea . É frequentemente...
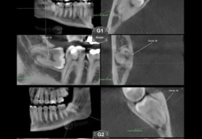
Em nossa clínica é a mais indicada para Endondontia ou quando deseja avaliar nos mínimos detalhes os dentes, como ligamento periodontal, fraturas de raízes, canais laterais, atresia de canais,...
A tomografia da Articulação Temporomandibular (ATM) é um exame de imagem detalhado que avalia as estruturas ósseas da região, como o côndilo da mandíbula e a fossa mandibular do crânio. É uma...
A Tomografia na Implantodontia, é um exame de imagem fundamental para o planejamento e a execução de cirurgias de implantes dentários. A modalidade mais utilizada é a Tomografia Computadorizada de...
A tomografia na endodontia, especificamente a Tomografia Computadorizada de Feixe Cônico (TCFC ou CBCT), é uma ferramenta avançada que oferece uma visão tridimensional detalhada das estruturas...
A tomografia computadorizada é uma ferramenta essencial e de alta precisão para o diagnóstico e planejamento de tratamentos ortodônticos. Ela fornece imagens tridimensionais (3D) detalhadas das...
A tomografia computadorizada é de suma importância na periodontia, fornece imagens tridimensionais detalhadas e de alta resolução que superam as limitações das radiografias convencionais. Essa...
A tomografia computadorizada é de grande importância para a avaliação da articulação temporomandibular (ATM) e para o diagnóstico das Disfunções Temporomandibulares (DTMs). Ela permite que o dentista...
BUCO-MAXILO-FACIAL A tomografia é um exame de imagem de extrema importância na Cirurgia e Traumatologia Buco-Maxilo-Facial (CTBMF), pois fornece uma visão tridimensional e detalhada das estruturas...
A tomografia computadorizada de feixe cônico (TCFC) revolucionou a odontologia restauradora ao fornecer imagens tridimensionais (3D) de alta resolução, superando as limitações das radiografias...
A tomografia computadorizada (especialmente a tomografia de feixe cônico ou cone beam) é uma ferramenta essencial e fundamental para o diagnóstico e planejamento seguro e preciso dos procedimentos de...
A tomografia computadorizada, especialmente a de feixe cônico (TCFC), é uma ferramenta de diagnóstico por imagem de grande importância na Odontopediatria. Ela oferece uma visão tridimensional...

Faça um agendamento

Acesse nossa página de agendamento para fazer seu agendamento